Are you also having swollen gums?? Noticing your gums getting bigger than usual?? Or bleeding while brushing and thinking it’s normal??
At Saket Dental Clinic and Hospital. There was a patient, he was complaining that his gums are slowly increasing in size since almost 5–6 months. He also said there’s occasional bleeding and discomfort while eating.
On checking properly, we at Saket dental clinic noticed that his gums were enlarged and covering a good part of his teeth. When we took his medical history, doctors at Saket hospital found something important — he was taking medicine for his high blood pressure from many years, and that too without regular doctor consultation.
This condition is called Drug-induced gum enlargement (gingival hyperplasia).
The medicine he was taking belongs to a group called calcium channel blockers like nifedipine, amlodipine, diltiazem etc.… these are commonly used for high blood pressure control, but many people don’t know they can affect gums also.
So how does this actually happen??
-These medicines affect calcium flow in gum cells that is gingival fibroblasts.
-This leads to more connective tissue production and less breakdown.
-Collagen starts accumulating in gums.
-Fibroblast activity increases.
-Collagenase (the enzyme that breaks collagen) doesn’t work properly.
All this together causes gums to slowly become thick, enlarged, and sometimes bleed.
What actually we do about gum bleeding and gum enlargement ??
At Saket dental clinic and hospital we provide advance stepwise care for these cases
First step — we explained the patient about the cause (very important). With intraoral dexis scanner and monitored for bone loss via full mouth x-ray (opg facility available at Saket dental clinic) we at Saket multispecialty hospital with team of expert doctors our physician opinion was also taken in one roof -to change the medicine if possible.
Then we at Saket dental clinic started with:
-Scaling and polishing (basic superficial teeth cleaning)
-Deep scaling and root planning (to clean deep into gums)
-Proper oral hygiene instructions
-Regular follow-ups to monitor improvement
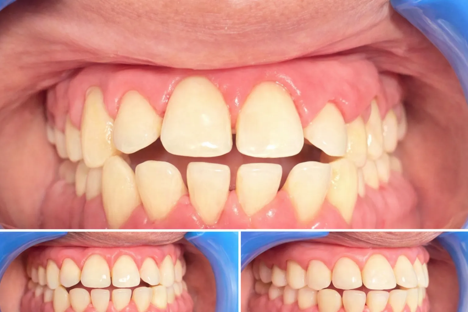
After regular follow ups we have seen 60 percent improvement in gingival enlargement for the rest irreversible enlargement we provided laser treatment (gingivectomy) facility of this patient at Saket dental clinic mansarovar, jaipur.
We have advanced laser machine with us at our center- Saket dental clinic & hospital that is Diode Laser. We used diode laser to gently remove the extra gum tissue.
The laser treatment is quick and almost painless, with no bleeding, and it also helps the gums heal faster. It gives a clean, precise result and makes the whole procedure much more comfortable for the patient and also sterilizes the area to reduce infection risk, and speeds healing, usually without requiring sutures.
The patient was then recalled after one month for re-evaluation of the surgical site. Complete surgical site healing was seen after one month of the procedure.
“Post-op image of patient after painless laser treatment”
So the main thing is — don’t ignore gum changes. Start before it becomes irreversible
If your gums are growing, bleeding, or looking different… it’s not normal.
📍 Visit Us Today for consultation at :
Saket Dental Clinic & Hospital, Mansarovar, Jaipur Parent Branch – Mittal Dental Clinic, Nirman Nagar, Jaipur